Хронический сальпингоофорит — а есть ли выход?
Хронический аднексит и бесплодие
Воспалительные заболевания органов малого таза распространены среди женщин репродуктивного возраста. В силу анатомических особенностей, инфекций, активной половой жизни болезнетворные микроорганизмы проникают в маточные трубы и яичники, провоцируя развитие инфекционно-воспалительного процесса — сальпингоофорита (син. аднексит). При неоказании медицинской помощи во время острого воспаления придатков очень быстро развивается хронический сальпингоофорит, который нередко приводит к непроходимости маточных труд и образованию спаек в области яичников.
Причины развития хронического аднексита
Острый сальпингоофорит возникает из-за попадания в придатки женщины инфекционного возбудителя (гонококков, стафилококков, кишечной палочки) восходящим путем или с током крови из очага инфекции, локализующегося во внутренних органах. Женщины часто не обращаются к специалистам при наличии болей внизу живота, а стараются справиться с воспалением приемом обезболивающих препаратов и антибиотиков. На фоне недолеченности острого воспалительного процесса как раз и возникает хронический сальпингоофорит.
Рецидив могут вызывать следующие предрасполагающие факторы:
- переохлаждение;
- травмы гениталий и внутренних половых органов;
- снижение иммунитета;
- плохая гигиена гениталий;
- венерические инфекции;
- инфекционные заболевания внутренних органов;
- стрессы;
- переутомление;
- бессонница, нервные потрясения;
- аборты, диагностические выскабливания матки, установка внутриматочной спирали.
Признаки хронического сальпингоофорита
Хронический сальпингоофорит протекает с периодическими обострениями. В период ремиссии женщина может отмечать ноющие боли внизу живота, в области поясницы, нарушения менструального цикла, расстройства половой функции. Многие пациентки жалуются на простреливающие тазовые боли, дискомфортные ощущения во время интимной близости, снижение либидо. Во время влагалищного осмотра гинеколог часто выявляет увеличение придатков матки. На фоне длительно протекающего хронического аднексита часто развивается бесплодие.
Рецидив может быть спровоцирован купанием в прохладной воде, менструациями, неожиданной стрессовой ситуацией или возникновением респираторно-вирусной патологии. Симптомы обострения сальпингоофорита могут быть не столь выраженными, как при развитии первичного острого воспалительного процесса. Тазовые боли приводят с нарушению самочувствия, нервозности. Болезненность при интимной близости вносит дисгармонию в супружескую жизнь, делает женщину замкнутой и раздражительной.
Патологические изменения при хроническом воспалении придатков
Хронический сальпингоофорит вызывает патологические склеротические изменения в маточных трубах, способствует развитию спаечного процесса. В результате этого в несколько раз повышается возникновение внематочной беременности, выкидышей и бесплодия. Яичники и маточные трубы при аднексите спаиваются, вследствие чего развивается непроходимость труб, нарушения менструального цикла (прекращение овуляции, длительные и болезненные менструации).
С развитием воспалительного процесса шансы женщины на зачатие и вынашивание беременности резко сокращаются. Хроническая форма сальпингоофорита трудно поддается лечению и нередко оборачивается для женщины необратимым бесплодием. Кроме того, хроническая инфекция при аднексите способна распространяться на почки, мочевой пузырь и прочие внутренние органы, вызывая развитие колитов, холециститов и пиелонефритов.
Диагностика хронического аднексита
Женщины с подозрением на хронический сальпингоофорит проходят ряд традиционных исследований:
- гинекологический осмотр, выявление одно- или двустороннего увеличения придатков;
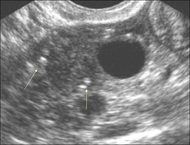
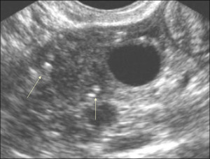
- ультразвуковое исследование;
- бактериологический посев на микрофлору;
- забор мазков из влагалища, шейки матки и мочеиспускательного канала;
- рентгенологический метод исследования матки и придатков с контрастным усилением (гистеросальпингография).
Особенности терапевтического лечения хронического сальпингоофорита
Лечение хронической формы аднексита должно быть комплексным. В стадии обострения проводится антибактериальная терапия. Дополнительно используются:
— противовоспалительные препараты;
— анальгетики;
— препараты, восстанавливающие кровообращение в придатках матки;
— регенерирующие средства;
— иммуномодуляторы;
— инфузионная терапия (при интоксикационном синдроме);
— физиотерапевтические методы лечения: вибромассаж, электросон, использование УВЧ, грязелечение.
В стадии обострения женщины подлежат госпитализации. Показано соблюдение постельного режима, диеты, ограничение умственной нагрузки. Из питания желательно исключить жареные, острые блюда, газированные напитки, алкоголь. Пища должна быть термически и механически щадящей, без консервантов и агрессивных компонентов, сбалансированной и калорийной.


