Можно ли забеременеть при эрозии шейки матки?

Эрозия и беременность — возможно ли?
Эрозия и беременность: а совместимы ли они?
Эрозивное повреждение эпителия слизистой оболочки шейка матки относится к достаточно распространенной патологии пациенток совсем юного возраста. В силу этого у многих возникает вопрос: насколько данное заболевание затрагивает репродуктивную функцию женского организма? О том, можно ли забеременеть при эрозии шейки матки вы прочитаете в данной статье.

что такое эрозия?
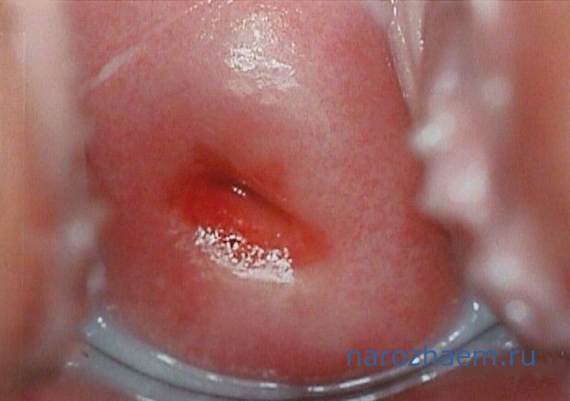
Что такое эрозия? Прежде всего, следует разобраться с определением данного заболевания. Так называют поверхностный дефект в нормальной структуре слизистой оболочке наружного зева шейки матки, который визуально значительно отличается на фоне здоровых тканей.
Может ли эрозия помешать беременности? Непосредственно сам эпителиальный дефект не оказывает какого-либо негативного влияния на репродуктивную функцию организма. Его главная опасность состоит в том, что на этом фоне может развиваться онкологическая патология. Что касается наступления беременности, то она возможна практически у всех женщин с описываемым заболеванием. Исключение составляют случаи, когда эрозия вызвана грубым гормональным дисбалансом, а также перенесенными венерическими заболеваниями, в силу которых произошло образование не только эпителиального дефекта, но и развились соединительнотканные спайки.
Как проявляется данное заболевание во время беременности? Диагностическая сложность состоит в том, что какие-либо симптомы патологии шейки матки зачастую отсутствуют. Поэтому диагноз патологии шейки матки у многих женщин часто ставят одновременно с осмотром по поводу наступившей беременности. В некоторых случаях могут появляться такие симптомы как:
- дискомфорт или сукровичные выделения после интимной близости;
- обильные слизистые бели;
- тянущие боли внизу живота.
Следует помнить, что любые кровянистые выделения, особенно появившиеся на ранних сроках беременности, могут быть предвестниками самопроизвольного аборта. Поэтому при их появлении следует в кратчайшие сроки обращаться к врачу.

Как влияет беременность на эрозию?
Влияние беременности на состояние эрозии. Когда женщина вынашивает плод, то в ее организме формируется запрограммированный дефицит в работе иммунной системы. Если эрозия возникла до наступления беременности, то возможно ее прогрессирование.
Диагностическая программа во время беременности
Ни для кого не секрет, что женщина во время вынашивания ребенка должна регулярно наблюдаться врачом-гинекологом. Однако список проводимых манипуляций должен быть максимально щадящим, чтобы не причинить вреда плоду. В диагностическую программу должны быть обязательно включены следующие мероприятия:
- осмотр акушером в зеркалах. При этом обнажается шейка матки, на которой визуально можно различить эрозию;
- исследование мазком из влагалища на наличие атипичных клеток. Данное исследование предполагает изучение клеточного состава шейки матки под микроскопом с обязательным определением атипичных (или раковых) клеток;
- определение уровня антител к возбудителям половых инфекций, а также вирусу папилломы человека. Довольно часто женщине проводится полноценное обследование во время беременности, а потому такая программа может отдельно не назначаться;
- кольпоскопия. Данная процедура может выполняться строго по согласованию с лечащим врачом. Она предполагает изучение состояния шейки матки при помощи специальной видеоаппаратуры, которая не вводится, а только подносится к половой щели, что сводит к нулю любой риск передачи каких-либо инфекций. Наркоз при проведении такой манипуляции также не требуется, что делает ее практически безопасной как для матери, так и для ребенка.

Лечение эрозии при беременности
Лечение эрозии при беременности
Терапия описываемой патологии представляет значительные трудности, поскольку должно учитываться негативное влияние любых лекарственных или оперативных вмешательств на плод. В силу этого все медикаментозные назначения должны проводиться только квалифицированным акушером-гинекологом.
В том случае, если при исследовании мазков и проведении кольпоскопии патологические клетки обнаружены не были, то в амбулаторной карте пациентки записывается диагноз, и она ставится на диспансерный учет. Дальнейшая тактика терапии определяется в послеродовом периоде.
В том случае, когда патологический очаг имеет большие размеры или имеет тенденцию к значительному увеличению, то беременной назначаются препараты, которые стимулируют заживление эрозии. Предпочтительнее, конечно, назначать медикаменты в форме свечей или мазей, чтобы увеличить их концентрацию в патологическом очаге и максимально уменьшить ее в крови. Это позволит избежать возможного вредного действия лекарственных препаратов на плод.
Очень важно, что прижигать эрозию любым из известных на сегодня способов категорически не рекомендуется. Связано это с возможным провоцированием сокращения матки, что может вызвать самопроизвольный аборт и гибель плода, особенно на раннем сроке. Даже если этого и не произойдет, то могут сформироваться спайки, которые значительно осложнят родовую деятельность.
А если эрозию пролечили до беременности? В том случае, если патологическое образование было выявлено у вас до беременности, и проводилась какая-либо терапия (хирургическая или медикаментозная), то вам необходимо обязательно сообщить об этом акушеру. Это поможет выбрать правильную тактику родоразрешения и убережет от возможных ошибок.
Также следует быть особенно внимательными тем женщинам, которые перенесли венерические заболевания и/или принимали оральные контрацептивы для лечения эндокринной патологии, приведшей к формированию эрозии. Указанные выше состояния могут привести к заболеваниям плода, поэтому врача необходимо обязательно поставить в известность.

А через какое время после прижигания можно планировать беременность.
Когда планировать беременность после прижигания?
В каждом конкретном случае сроки возможной беременности оговариваются индивидуально, в зависимости от того, какой метод хирургического пособия использовался у женщины.
Чаще всего гинекологи используют прижигание патологического очага лазерными лучами. Они не способствуют формированию спаек и рубцов на органах репродуктивной системы, что позволяет рожать самостоятельно. В среднем планировать зачатие можно уже через 30-45 суток после указанной манипуляции.
Криотерапия на сегодняшний день также является одним из распространенных методик лечения, что связано с ее низкой стоимостью. Однако планировать беременность в ближайшие несколько месяцев после такой терапии не рекомендуется.
Диатермокоагуляция (или прижигание посредством электротока) у молодых женщин практически не применяется. Однако если такая процедура была проведена, то пациентке на протяжении месяца рекомендуется полный половой покой. Планировать беременность можно не ранее, чем через 2 месяца после проведения диатермокоагуляции. Также необходимо помнить, что электроток вызывает формирование рубцовых деформаций шейки матки, а это значит, что с большой долей вероятности родоразрешение будет проводиться путем кесарева сечения.
Химическое прижигание эрозии может быть использовано только при очень незначительных размерах патологического очага. Помимо этого высока вероятность рецидива заболевания во время беременности. Зачатие не рекомендуется планировать ранее, чем через 3-4 месяца после проведения последней процедуры.
Радиоволновая вапоризация является одним из наиболее оптимальных методов лечения эрозии, который сохраняет нормальную проходимость естественных родовых путей. Восстановление женского организма после такого метода лечения наступает через 4-5 недель.
Можно ли применять гомеопатию? Заниматься самолечением при беременности не стоит ни в коем случае. Средства народной медицины не следует использовать хотя бы потому, что их влияние на развивающийся плод не было доказано. Также существует высокая вероятность возникновения врожденных пороков плода, при применении некоторых лекарственных растений на ранних сроках беременности.
Что касается гомеопатических препаратов, то они могут быть использованы только после консультации с врачом-гинекологом.
Не стоит переживать зря… Помните, что эрозия может быть с успехом вылечена, если необходимая лекарственная терапия начата вовремя. Поэтому не откладывайте визит к врачу, а лучше всего пройти обязательный дородовый осмотр.
Хорошие новости! Бывают случаи, когда после беременности эрозия может полностью исчезнуть. Связано это с подавлением высокого уровня эстрогенов в послеродовый период. Однако это может быть только в тех случаях, когда участок поражения имеет незначительные размеры, отсутствуют признаки активного воспаления и атипии клеточных элементов.