Киста шейки матки и ее лечение
Лечим кисту шейки матки
Киста шейки матки – одно из самых распространенных на сегодняшний день гинекологических заболеваний, которое представляет собой образование в виде закрытых и расширенных желез в шейке матки со скопившимся секретом. Сначала воспаление развивается в канале шейки или во влагалище, а далее воспаляются выводные протоки, которые располагаются в шейке желез. Протоки, вырабатывающие слизь в состоянии нормы начинают потихоньку закупориваться, железа наполняется слизью и увеличивается в размерах.
Киста шейки матки выглядит как куполообразная доброкачественная опухоль (в редких случаях может превратиться в злокачественную опухоль) размером в 2-3 мм и до 1-2 мм в диаметре, наполненная слизью желтого или белого цвета. Примерно 10-20% женщин страдают от данного заболевания, которое может иметь весьма неприятные последствия – бесплодие.
Разновидности кисты шейки матки
Киста шейки матки бывает 2 видов:
- Предраковые – начальная стадия, которая создает идеальные условия для развития злокачественных опухолей, для начала развития рака.
- Фоновые. Данная разновидность заболевания не относится к категории опасных для жизни с точки зрения онкологии. Сюда можно отнести такие нарушения, повреждения оболочки влагалища, в частности: полипы, лейкоплакию, эритроплакию, псевдоэрозии, плоские кондиломы. Главную роль в процессе развития проблем с шейкой матки играют инфекции полового вида.
Причины развития заболевания
Назвать точные причины развития кисты шейки матки будет достаточно сложно, так как разные врачи придерживаются различных точек зрения, но, тем не менее, можно выделить основные, общие факторы возникновения заболевания:
- Особенности анатомии шейки матки. Многие исследователи сходятся на мнении, что именно особенности строения матки являются основным предрасполагающим фактором возникновения заболевания.
- Изменения в гормональном фоне. Здесь речь идет не только о гормонах, продуцируемых половыми железами, но также и другими органами, которые относятся к эндокринной системе.
- Воспаления, очаги хронической инфекции органов малого таза в не зависимости от их этиологии.
- Эрозии или псевдоэрозии, которые присутствуют на шейке матки.
- Киста шейки матки возникает после травм при введении внутриматочных контрацептивов.
- После абортов, любого инструментального вмешательства при диагностике.
- Киста шейки матки может возникнуть после родов, так как в данный период времени восстановительные процессы проходят очень интенсивно. В связи с этим нарушается регуляция работы желез Набота, забиваются протоки, образуется киста. Беременность можно назвать одним из самых главных факторов риска развития кист.
- Менопауза. В этот период железы вырабатывают намного больше слизи, которая не успевает выходить, забивает проток и развивается киста.
На сегодняшний день ни одно исследование не дает точного ответа, какая именно из вышеперечисленных причин способствует развитию кист чаще всего.
Симптомы развития болезни
Но как определить, что у вас развивается киста шейки матки, каковы симптомы этого заболевания? Зачастую эта болезнь протекает без каких-либо симптомов. Таким образом, женщина не чувствует болей, дискомфорта, ни на что не жалуется, поэтому диагностируется заболевание обычно во время планового осмотра или при обращении к врачу с совсем другими проблемами (например, невозможность забеременнеть). В случае появления любых неприятных ощущений, выделений в виде крови диагноз кисты шейки матки должен быть пересмотрен.
Лишь на поздних стадиях болезни могут возникнуть следующие симптомы:
- Кровотечения, не совпадающие по времени с месячными или с моментом овуляции. Данный симптом может говорить и о развитии раковых заболеваний, поэтому не медленно нужно обращаться к гинекологу.
- Болевые ощущения, возникающие чуть ниже пупка. Опять-таки причины этого могут крыться не только в безобидной кисте, но и в более серьезных заболеваниях половой и мочевой системы.
- Боль во время интимной близости.
- Выделения из влагалища, которые не связаны с половым возбуждением. Они сами по себе говорят о наличие инфекций, которые в свою очередь являются факторами риска. Очень часто у пациенток с инфекционными заболеваниями врач вдобавок обнаруживает еще и кисты.
Диагностика кист шейки матки
Киста шейки матки не всегда требует незамедлительного лечения, так как даже если таковой диагноз был установлен, он может рассматриваться врачом-гинекологом вариантом нормы. В случае обнаружения болезни врач рекомендует регулярно наблюдаться у специалиста и не прибегать к лечению.
Если специалистом выявляются множественные кисты, то первым делом следует определить причины их образования и назначать соответствующее лечение, так как в противном случае женщина запускает болезнь, что может привести к бесплодию.
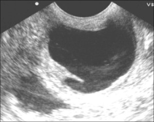
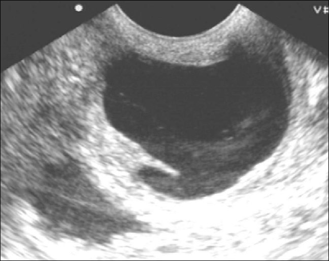
Но как диагностируется киста шейки матки? Очень легко определить данное заболевание во время колькоскопии или при УЗИ с применением влагалищного датчика. Иногда болезнь можно обнаружить визуальными методами, например, перед менструацией образование увеличивается в размерах, начинает кровоточить, приобретает синюшный оттенок, принимает эндометриозную форму.
Кроме того, перед началом лечения необходимо пройти следующие процедуры, чтобы окончательно убедиться в правильности поставленного диагноза:
- Цитологический анализ соскоба цервикального канала.
- Исследование мазков на наличие трихомонад, хламидий, гарднерелл, уроплазмы, вируса папилломы, микоплазмы.
- Микроскопическое исследование мазка из мочеиспускательного канала, влагалища.
Если хоть один из анализов дает положительный результат, то первым делом врач должен назначить лечение обнаруженной инфекции.
Лечение кисты шейки матки
При обнаружении кист не требуется соблюдать особый режим питания, ограничивать себя в сексуальной жизни, вполне можно купаться, ходить в сауну и прочее, так как киста не заразна. Некоторые врачи считают, что киста вовсе неопасное заболевание и не требует особого лечения.
Но все же большая часть медиков твердо уверены, что запускать болезнь не стоит, так как киста способствует развитию гнойного инфильтрата. Киста шейки матки, лечение обычно включает в себя удаление хирургическим методом. Лучше это делать тогда, когда оперативное вмешательство будет наименее травматичным. К примеру, если киста располагается глубоко в шейке, то оперировать ее не нужно. Разумнее будет регулярно посещать гинеколога, и отслеживать динамику развития болезни.
Лечение гнойных кист включает в себя пунктирование для удаления гноя. Далее пациентке прописывают специально подобранные антибиотики, а перед началом лечения необходимо пройти обследование на наличие скрытых инфекций, которые необходимо пролечить перед удалением кисты.
Кисту можно удалять в любое время, за исключением трех дней до наступления месячных и во время менструации.
Помимо хирургического вмешательства, кисту шейки матки лечат методом радиоволновой терапии. Зачастую специалисты применяют прижигание жидким азотом по методу криотерапии (щадящая процедура, которая позволяет избежать рубцов) или лазеротерапию.
Лечение кисты лазером приносит больной некий дискомфорт, так как процедура болезненна. Но зато лазерная методика очень эффективная, так как помогает удалить патологические ткани, прижечь сосуды, остановить кровотечения и снизить риск развития осложнений.




